Obstrução Gástrica em Adulto por Hérnia Diafragmática Congênita
RESUMO
A Hérnia de Bochdalek é uma hérnia diafragmática congênita decorrente de má formação do ligamento póstero-lateral do diafragma. Seu diagnóstico na idade adulta é raro, com maior probabilidade de ser sintomático ainda na fase neonatal. O seu tratamento é cirúrgico, uma vez que há grande risco de eventos potencialmente mórbidos ocorrerem. Neste relato, descrevemos o caso de um paciente adulto atendido em um grande centro o qual apresentou sintomas de obstrução de trato gastrointestinal alto devido a hérnia diafragmática com volvo gástrico. A abordagem cirúrgica foi via toracotomia esquerda, constatando-se defeito póstero-lateral esquerdo no diafragma. Realizada a redução do saco herniário e o fechamento da falha diafragmática, reforçada com tela de polipropileno. O volvo gástrico trata-se de uma complicação rara nas hérnias diafragmaticas e é uma urgência cirúrgica, devido à possibilidade de isquemia e ruptura gástrica. O manejo adequado permite uma recuperação adequada com menor morbimortalidade.
INTRODUÇÃO
A hérnia diafragmática congênita (HDC) consiste na herniação do conteúdo abdominal para o tórax por meio de um defeito no diafragma, mais frequentemente póstero-lateral esquerdo (defeito de Bochdalek), resultante da falência do desenvolvimento do forame diafragmático durante o período embrionário. Trata-se de uma malformação congênita incomum, que acomete 1 em 3000 nascidos vivos, mas com acentuada morbimortalidade.1,2
A maioria dos casos apresentam-se nas primeiras horas ou dias de vida, sendo raros os casos sintomáticos na população adulta, em que se faz o diagnóstico tardiamente.1,2
As HDC são raras em adultos, e possuem um espectro de apresentação desde assintomáticas ou podem haver sintomas vagos, como: dor torácica, dor abdominal, dispneia, empachamento e vômitos.3,4,5,6,7,8 Além disso, elas podem mimetizar as hérnias paraesofagenas, fazendo com que sua identificação seja difícil.9 O diagnóstico pode ser estabelecido por meio de exames complementares de imagem do tórax, como a radiografia simples e a tomografia.10
A correção cirúrgica da HDC está indicada na população adulta, uma vez que há risco de eventos potencialmente graves, como a obstrução intestinal, hemotórax, hemorragia intra-abdominal e o volvo gástrico.3,4,5 O tratamento consiste na redução do conteúdo herniado e fechamento da falha diafragmática, podendo-se utilizar próteses nos defeitos grandes. A abordagem eletiva é preferível.10,11 A forma de acesso cirúrgico depende da experiência e preferência do cirurgiao, que pode ser por laparotomia, toracotomia, videotoracoscopia ou videolaparoscopia.11,12 No recém-nascido a via mais utilizada é a laparotomia.13 Esse relato traz um paciente com HDC associada a volvo gástrico, operado em regime de urgência. Optou-se pelo acesso por toracotomia póstero-lateral esquerda, e decidiu-se pela colocação de tela de polipropileno.
RELATO DE CASO
Paciente masculino, 60 anos, natural e procedente de Belo Horizonte, hipertenso e diabético, sem passado de trauma. Havia sintomas dispépticos de longo prazo, que se intensificaram há 15 dias, e evoluíram para náuseas e vômitos precoces pós-prandiais nas 72 horas prévias à admissão.
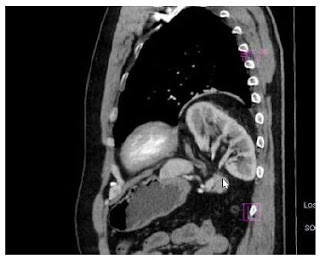
Procurou atendimento devido a persistência e agravamento dos sintomas. Após primeiro atendimento, realizou-se cateterismo nasogástrico, com drenagem de secreção borrácea, apesar da dificuldade de progressão do cateter. Trouxe consigo tomografia computadorizada (TC) de abdome e pelve do ano anterior que mostrava hérnia diafragmática em cúpula frênica à esquerda, com todo estômago herniado para o tórax. Solicitado endoscopia digestiva alta (EDA), nova TC de tórax, abdome e pelve, além de revisão laboratorial. A EDA diagnosticou sinais de esofagite erosiva grau D de Los Angeles, além de provável hérnia hiatal, com estômago predominantemente intratorácico, com alteração do seu eixo, sugerindo volvo gástrico. A TC replicava os resultados da EDA, demonstrando rotação gástrica no eixo mesenteroaxial, condicionando semiobstrução (Figura 1).

Figura 1. Reconstrução coronal de tomografia de tórax demonstrando estômago (E) presente dentro do tórax. Notar que o mesmo atravessa o diafragma (D) e apresenta linha (*) não preenchida pelo conteúdo, característica do volvo gástrico
Em virtude de quadro clínico estável e ausência de disfunção orgânica o paciente foi preparado para cirurgia. A via de acesso foi toracotomia posterolateral esquerda. Identificou-se saco herniário, e houve de fácil redução do estomâgo, em seu conteúdo por meio de um defeito em diafragma em regiao posterolateral à esquerda medindo aproximadamente 04 x 06 cm - compatível com defeito de Bochdalek. Realizou-se sutura primária do defeito com fio de polipropileno nº 0, com sutura com pontos separados em U em um primeiro plano, seguida de segundo plano de sutura contínua simples utilizando o mesmo fio. Em seguida implantou-se tela de polipropileno, fixada com pontos simples ao longo da tela utilizando polipropileno 2-0 (Figuras 2 e 3). Por fim, realizou-se drenagem pleural em selo d'água.
Figura 2. Fotografia durante peroperatório mostrando diafragma (D) com falha e saco herniário aberto, com bordas pinçadas (*), com exposição de cavidade abdominal (A)]
Figura 3. Fotografia durante peroperatório após primeiro plano de sutura (círculos) sobre diafragma (D)]
Não ocorreram intercorrências em pós-operatório, e o paciente recebeu alta no 5° dia de pós-operatório.
DISCUSSÃO
A HDC de Bochdalek foi descrita pela primeira vez em 1848 por Vincent Alexander Bochdalek ao evidenciar falhas no fechamento de um forame póstero-lateral diafragmático.1
O defeito ocorre entre a sétima e nona semana de gestação com a falha de um dos fechamentos dos canais pleuroperitoneais (canais de Bochdalek) por onde migraram as vísceras toraco-abdominais.1 É considerada um dos principais defeitos congênitos do diafragma afetando em média 1 a cada 3000 nascidos vivos e corresponde a 80% das hérnias diafragmáticas congênitas.1,2,13 O lado mais acometido é à esquerda, correspondendo a 80% dos casos.1,13 Hérnias congênitas em adultos são raras, correspondendo a 0,17 a 6,00% de todos as hérnias diafragmáticas.1,7 Na maioria dos casos apresenta-se como casos graves no período neonatal, que evoluem com hipoplasia pulmonar e hipertensão pulmonar, além de ser comum associação com cardiopatia.8,13
Existem poucos casos descritos em adultos.10,12 Podem ser assintomáticas, mas dependendo do tamanho podem possuir formas de apresentação inespecífica como dor abdominal, plenitude pós-prandial, dispepsia, queimação retroesternal, desconforto respiratório ou mesmo ter a primeira manifestação mais grave com estrangulamento de alças intestinais, colón transverso ou estômago, seja com ou sem volvo.3,4,5,6,7,8,12,14 O diagnóstico é feito por meio de radiografia do tórax, em que há apagamento do seio costofrênico, além de imagens aéreas no tórax e elevação da cúpula diafragmática. Já pela tomografia pode-se evidenciar até mesmo pequenas hérnias.10 Para melhor elucidação diagnóstica, pode-se utilizar exames contrastados, contribuindo-se para distinção entre uma hérnia diafragmática congênita e uma outra malformação torácica congênita, como a malformação adenomatóide cística.10
Volvo gástrico é definido como uma rotação anormal de todo ou uma parte do estomago em volta de um dos seus eixos. Requer tratamento cirúrgico, com redução do volvo, reintegração do estomago à cavidade abdominal e correção do fator causal.3,4
Especificiamente na HDC, o volvo gástrico implica em um defeito nos ligamentos gastroesplênico e gastrofrênico, que podem ser excessivamente alongados ou mesmo ausentes.1,3,4,7
Existem relatos de herniações de rim, vesícula biliar, omento, apêndice e baço. Justamente Devido a gravidade potencial, é recomenda-se sempre o reparo cirúrgico, mesmo nos casos assintomáticos. Prefere-se tratar o paciente em boas condições clínicas que em estados ameaçadores à vida, como o sofrimento intestinal.7,10,11 No caso apresentado dada a estabilidade clínica, optamos pelo preparo adequado e abordagem pelo especialista em cirurgia torácica.
Não existe consenso no tratamento da hérnia de Bochdalek. Uma vez que não exista centro especializado em hérnias diafragmáticas congênitas há uma série de descrições de tratamentos diferentes. O acesso ao diafragma pode ser feito por via torácica ou abdominal, com sua preferência variando conforme a expertise do cirurgiao a tratar, podendo inclusive serem utilizadas técnicas mistas e até toracoscopia.7,8,9,15 A técnica por via torácica é descrita como toracotomia baixa, no sétimo espaço intercostal.10 Caso haja necessidade de melhor acesso abdominal para redução do conteúdo herniário, pode-se ser feita frenotomia ou extensão para laparotomia na incisão da pele.11 Realizou-se toracotomia no caso descrito por propiciar melhor liberação de possíveis aderências, melhor dissecção do saco herniário e possibilidade de se colocar tela mais facilmente na cavidade torácica.
Para casos eletivos, em adultos, são preferíveis abordagens minimamente invasivas. como Toracotomia Video-Assistida (VATS) ou videolaparoscopia. O reparo do defeito em si pode ser feito com técnicas habituais para hérnia diafragmática com ou sem prótese, sendo descritos imbricamento e embricatura dos folhetos diafragmáticos com ou sem colocação de prótese intratorácica ou intra-abdominal.10,11
REFERENCIAS BIBLIOGRAFICAS
1. Oliveira DRCF, Rodrigues AJ Jr. Hérnia de Bochdalek em adulto. Rev Col Bras Cir. 2008;35(1):40-4.
2. Tavares FLS, Tavares MB, Pimentel MC, Machado IFR, Loureiro ER, et al. Hérnia diafragmática congênita em adulto. Relatos Casos Cir. 2016;(4):1-3.
3. Manipadam JM, Sebastian GM, Ambady V, Hariharan R. Perforated Gastric Gangrene without Pneumothorax in an Adult Bochdalek Hernia due to Volvulus. J Clin Diagn Res. 2016;10(4):PD09-10.
4. Atef M, Emna T. Bochdalek Hernia With Gastric Volvulus in an Adult: Common Symptoms for an Original Diagnosis. Medicine (Baltimore). 2015;94(51):e2197.
5. Souza HP, Breigeiron R, Oliveira JK, Tatim JO, Costa LB. Hérnia diafragmática congênita simulando tumor de cólon em paciente adulto jovem. Rev AMRIGS. 2004;48(4):265-7.
6. Brown SR, Horton JD, Trivette E, Hofmann LJ, Johnson JM. Bochdalek hernia in the adult: demographics, presentation, and surgical management. Hernia. 2011;15(1):23-30.
7. Tarnay TJ. Diaphragmatic hernia. Ann Thorac Surg. 1968;5(1):66-92.
8. Yagmur Y, Yigit E, Babur M, Gumus S. Bochdalek hernia: A rare case report of adult age. Ann Med Surg (Lond). 2015;5:72-5.
9. Selvakumar D, Sian K, Iyengar AJ, Mejia R. An unusually large paraesophageal hernia mimicking a Bochdalek hernia. J Thorac Dis. 2017;9(8):E682-E684.
10- Amer K. Thoracoscopic approach to congenital diaphragmatic hernias in adults: Southampton approach and review of the literature. J Vis Surg. 2017;3:176.
11. Susmallian S, Raziel A. A Rare Case of Bochdalek Hernia with Concomitant Para-Esophageal Hernia, Repaired Laparoscopically in an Octogenarian. Am J Case Rep. 2017;18:1261-5.
12. Mei-Zahav M, Solomon M, Trachsel D, Langer JC. Bochdalek diaphragmatic hernia: not only a neonatal disease. Arch Dis Child. 2003;88(6):532-5.
13. Wung JT. Hérnia diafragmática congênita. In: Moreira MEL, Lopes JMA, Carvalho M, orgs. O recém-nascido de alto risco: teoria e prática do cuidar. Rio de Janeiro: Editora Fiocruz; 2004. 564 p.
14. Al-Dugdugi M, Alhazmi A, Khaliel A, Perez L. Bochdalek Hernia in an Adult with Upper Gastrointestinal Bleeding. Case Rep Gastroenterol. 2017;11(2):284-92.
15. He S, Sade I, Lombardo G, Prabhakaran K. Acute presentation of congenital diaphragmatic hernia requiring damage control laparotomy in an adult patient. J Surg Case Rep. 2017;2017(7):rjx144.
Fonte: https://rmmg.org/artigo/detalhes/2483.